VIP Ä¡¾Æ±³Á¤ Áø·á½Ç
±³Á¤ °æ·Â 20³â ±³Á¤ Àü¹®ÀÇ
(2001³â Á¹)
¹Ù·Î°¡±â
¼¿ï¿ì¸®¾ÆÀÌÄ¡°úÀÇ¿ø
Àü¹®ÀÇÀÇ ¹Ù¸£°í Á¤È®ÇÑ Áø´ÜÀ» ÅëÇØ
ÃÖ¼±ÀÇ Ä¡·á¸¦ ¾à¼Ó µå¸³´Ï´Ù.
¹Ù·Î°¡±â
µðÁöÅÐ °¡À̵å ÀÓÇöõÆ®
¿À½ºÅÛ °¡À̵å ÀÓÇöõÆ® ½Ä¸³Ä¡°ú
¹Ù·Î°¡±â
¶ó¹Ì³×ÀÌÆ®
¿ÏÀüÈ÷ »õ·Î¿î ¶ó¹Ì³×ÀÌÆ®
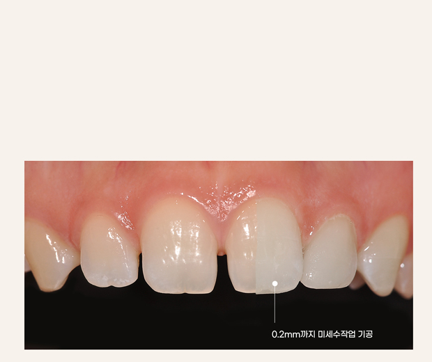
¹«»èÁ¦/0.2mmÃÖ¼Ò»èÁ¦ ¶ó¹Ì³×ÀÌÆ®
¹Ù·Î°¡±â
±¸°³»°ú Àü¹®ÀÇ
Àü¹®Àǰ¡ Áø·áÇÏ´Â ÅΰüÀý
¼¿ï¿ì¸®¾ÆÀÌÄ¡°ú¿¡ ¸Ã°ÜÁÖ¼¼¿ä.
¹Ù·Î°¡±â