ÀÇ·áÁø¼Ò°³
¼Ò¾ÆÃ»¼Ò³â±³Á¤
ÃæÄ¡Ä¡·á
Áø·á¾È³»
ÀÓÇöõÆ®
Ä¡¾Æ±³Á¤
Ä¡·áÀüÈÄ
»õ·Î³×ÀÌÆ®
ÀÓÇöõÆ®
Ä¡·áÀüÈÄ
Ä¡¾Æ±³Á¤
ã¾Æ¿À½Ã´Â±æ
º´¿øµÑ·¯º¸±â
Toggle navigation
ÀÇ·áÁø¼Ò°³
ÀÇ·áÁø¼Ò°³
¼Ò¾ÆÃ»¼Ò³â±³Á¤
¼Ò¾ÆÃ»¼Ò³â±³Á¤
ÃæÄ¡Ä¡·á
ÃæÄ¡Ä¡·á
Áø·á¾È³»
Áø·á¾È³»
ÀÓÇöõÆ®
ÀÓÇöõÆ®
³×ºñ°ÔÀÌ¼Ç ÀÓÇöõÆ®
Ä¡¾Æ±³Á¤
Ä¡¾Æ±³Á¤
ÀåÄ¡º° Ä¡¾Æ±³Á¤
Ä¡·áÀüÈÄ
»õ·Î³×ÀÌÆ®
ÀÓÇöõÆ®
Ä¡·áÀüÈÄ
Ä¡¾Æ±³Á¤
ã¾Æ¿À½Ã´Â±æ
ã¾Æ¿À½Ã´Â±æ
º´¿øµÑ·¯º¸±â
º´¿øµÑ·¯º¸±â
³×À̹ö ºí·Î±×
Ä¡¾Æ±³Á¤
Ä¡¾Æ±³Á¤
ÀåÄ¡º° Ä¡¾Æ±³Á¤
Ä¡¾Æ±³Á¤
- Ä¡¾Æ±³Á¤
- ÀåÄ¡º° Ä¡¾Æ±³Á¤
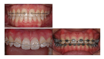
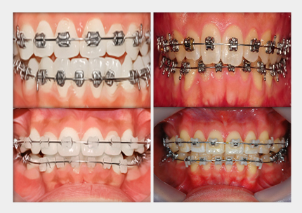
±³Á¤ÀåÄ¡ Á¾·ù
Ŭ¸®ÇÇ Clippy ÀÚ°¡°áÂû
Ä¡·á(Áø·á) ½Ã°£ÀÌ ´ÜÃàµÇ¾î ±âÁ¸ ÀåÄ¡¿¡ ºñÇØ ±³Á¤ÀÌ »¡¸® ÀÌ·ç¾îÁý´Ï´Ù.
±³Á¤Ä¡·á Áß ÅëÁõÀÇ ÃÖ¼ÒÈ À¯µµÇÕ´Ï´Ù.
°¡°ÝÀÌ ºñ½Î´Ù´Â ´ÜÁ¡ÀÌ ÀÖ½À´Ï´Ù.
¹Ì´ÏÆ©ºê, ·¹ÁøÆ©ºê, MTA
ÀåÄ¡°¡ ÀÛ¾Æ ¸Å¿ì ½É¹ÌÀûÀ̸ç,
ÀåÄ¡ ºÎÇǰ¨ÀÌ Àû¾î À̹°°¨ÀÌ Àû°í Æí¾ÈÇÕ´Ï´Ù.
±âÁ¸ ºê¶óÄÏ ÀåÄ¡¿¡ ºñÇØ Á¤¹ÐÇÑ Á¶Á¤ÀÌ ¾î·Á¿ö °£´ÜÇÑ ÄÉÀ̽º¸¸ Ä¡·á °¡´ÉÇÕ´Ï´Ù.
Åõ¸í ±³Á¤ÀåÄ¡
¸Å¿ì ½É¹ÌÀûÀÔ´Ï´Ù.
Å»ÂøÀÌ ÀÚÀ¯·Î¿ö ÇÊ¿äÇÒ ¶§ ÀåÄ¡¸¦ Á¦°ÅÇÒ ¼ö ÀÖ½À´Ï´Ù.
¿ÍÀ̾ ÀÌ¿ëÇÑ ±³Á¤ÀåÄ¡¿¡ ºñÇØ Àû¿ëÀÌ Á¦ÇÑÀûÀÔ´Ï´Ù.
ÀÚÁÖ »©°Ô µÇ¸é Ä¡·áÈ¿°ú°¡ ¶³¾îÁö°í Ä¡·á±â°£µµ ±æ¾îÁú ¼ö ÀÖ½À´Ï´Ù.
¼³Ãø ±³Á¤ÀåÄ¡
¸Å¿ì ½É¹ÌÀûÀÔ´Ï´Ù.
±³Á¤±â°£ÀÌ ±æ°í, ºñ¿ëÀÌ ºñ½Î´Ù´Â ´ÜÁ¡ÀÌ ÀÖ½À´Ï´Ù.
¹ßÀ½ ±³Á¤À» À§ÇÑ ÈÆ·Ã ÇÊ¿äÇÕ´Ï´Ù.
Ä©¼ÖÁúÀÌ ¾î·Æ½À´Ï´Ù.
100% °³ÀÎ ¸ÂÃãÇü ºê¶óÄÏ
À̹°°¨ÀÌ Àû°í,
»ýüģÈÀûÀÎ ±ÝÀ¸·Î Á¦ÀÛÇÕ´Ï´Ù.
ÀÏ¹Ý ¼³Ãø±³Á¤ ºñ¿ëº¸´Ù ºñ½Ô´Ï´Ù.
ÀÎÁõ Ä¡°úÀǻ縸ÀÌ ½Ã¼ú °¡´ÉÇÕ´Ï´Ù.